Patient Case Reports
Minimal Invasive
Case Reports – Feb 2025
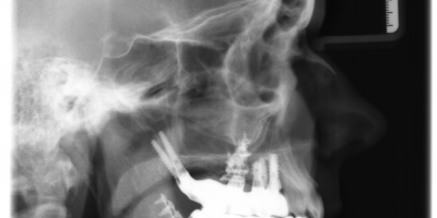
Treatment option in the atrophied maxilla using ROOTT P (Pterygoid) offering strong osteofixation . High torque of 50N + allowing for immediate loading.
Early loading with patient receiving screw retained final metal ceramic bridge after just 3weeks. Metal ceramic screw retained.
Implantology made simple
Minimal invasive.
Case Reports – Oct 2024
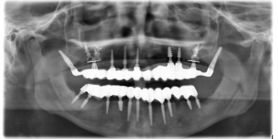
Patient of 83 with infection in the right side of Maxilla. Treatment plan was extraction and immediate implant placement. High primary stability torque of 60N.
Early loading with patient receiving final bridge after 3 weeks. Metal ceramic screw retained.
Implantology made simple
Minimal invasive.
Case Reports – July 2024
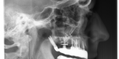
Patient with a small crest, to avoid bone graft treatment option wat to use one piece tissue level implants.
Implants were placed flapless with minimum pain. Patient received a screw retained bridge 2 weeks later.
BTB Patient
Case Reports – July 2024
Immediate loading by BTB approach using ROOTT P compressive implant. Patient wanted fixed teeth in minimal invasive treatment. Remaining teeth were extracted and implants placed. 2 weeks later the patient received a fixed metal resin bridge.
Learn the protocols: www.corticallyfixed.com/training
Failed Sinus and Tissue level implants - Pterygoid Implants (No sinus lift)
Case Reports – May 2024
Patient attended the clinic with a failed sinus lift on her right side, the bone volume was also poor. One piece tissue level ROOTT S3514 and S3508 were placed bridged with Pterygoid Implant. On the left side bone volume was good and traditional 2 piece implants were placed. Delayed loading in both cases. Minimal Invasive = happy patient.
Minimal Invasive treatment option in the atrophied bone with overdenture
Case Reports – Apr 2024
Treatment option in the atrophied bone with overdenture and screw retained barre. The bone conditions were not optimal as there was a very narrow crest.
Treatment option was to use tissue level implants - screw retained by open flap. Compression and primary stability were high allowing Practitioner to deliver the patient definitive prosthetics after 3 weeks.
Treatment option with Tissue level implants & Multi Unit
Case Reports – Mar 2024
Treatment option with overdenture and screw retained barre in the mandible and maxilla. In the mandible M implants were used and loaded immediately. In the maxilla ROOTT R implants R3512 with multi unit were used with delayed loading after 3 months.
Atrophied Maxilla immediate loading
Case Reports - Feb 2024
Atrophied maxilla with one piece tissue level implants with no sinus lift.
This 70 years old patient had the their remaining bad teeth extracted and implants placed at the same surgery.
Impression was taken immediately after surgery and 2 weeks later a screw retained bridge was placed in the maxilla. High torque implantation with Pterygoid implants.
72 Year old with broken bridge and bone defect
Case Reports - Jan 2024
The patient a lady of 72 years broke her bridge in the anterior area.
Treatment option was surgery with ROOTT C (One Piece) and ROOTT P (Pterygoid Implant). The big defect was fulfilled with bone graft material. 2 weeks later a ceramic was placed, cemented and screw retained.
Early loading with Pterygoid implants in soft bone. Metal ceramic bridge
Case Reports - Jan 2024
The patient of 55 years old was wearing a total prosthesis, he was very unhappy and retention was bad.
Treatment option was surgery with ROOTT P (Pterygoid Implant) as the bone was soft, D3 cancellous bone, temporary bridge, impression after surgery, key, try-in of the frame and placement. All screw retained with angulated screw channel.
Broken implant bridge with no bone. Metal ceramic bridge in 14 days
Case Reports - Dec 2023
The patient a lady of 64 years old with broken bridge. Patient had already considered a number of options with a number of doctors. As there was no bone the options offered involved long treatment times.
Treatment option was extraction and loading followed by a metal ceramic metal bridge 14 days later. Implant placed were ROOTT Implants Pterygoid, Tissue level and One Piece. Due to differing angulations the lab prepared the frame alongside angulated screw channel.
Minimally invasive approaches to Maxillary Atrophy with metal bar and denture.
Case Reports - Dec 2023
The patient a man of 70 years old unhappy with the no retention with his total prosthesis.
Bucally there was not enough bone to place a normal implant. Option was to consider bone grafting, the patient had specifically requested he did not wish to have a bone graft. The option was to place one piece tissue level implants M3016 by delayed loading. After 4 months the patient received a overdenture on a screw retained milled bar.
Minimally invasive approaches to Maxillary Atrophy. Two case reports featuring Tissue level implants and fixed screw retained bridge
Case Reports - Oct 2023
Introduction
There exist numerous approaches to manage such scenarios, ranging from invasive techniques such as zygomatic implants, sinus grafting, and bone grafting, to more minimal invasive methods utilizing pterygoid implants and the transnasal approach. The latter techniques are interesting due to their potential for early loading, where patients can receive a fixed rehabilitation within 2-3 weeks post-operatively.
Case I
The patient a lady of 53 had advanced periodontitis which made her came several times to the clinic for emergency treatment of pain. At a point patient wanted a permanent solution to this problem. Surgery was done in one session under local anesthesia, teeth in the maxilla and mandible were extracted and implants were placed.
Three weeks after initial consultation, patient ́s mouth was rehabilitated with definitive metal ceramic bridges. This was made possible due to the achieved bicortical anchorage in the anterior part and a strong cortical anchorage at the pterygoid plates (75 N/cm) in the maxilla, these anchorage ensured high primary stability which encourages immediate loading.
Case II
The patient a lady of 56 attended clinic with periodontal problems. After intra oral examination and radiological reviews, it was observed that the width and height of alveolar bone is not enough for classic implant placement. On the first appointment all teeth in the maxilla were extracted, and implants were placed, under local anesthesia. Pterygoid Implants C 3.5/20 mm were placed in position 18 and 28 to get a high primary stability, same implants were used at the extraction’s sockets and in the rest of the maxilla.
A metal ceramic bridge was fabricated after frame try-in. Three weeks after the beginning of the treatment, the gum has healed nicely, bridge was screw-retained READ MORE
Minimally invasive treatment option in the Atrophied Mandible
Case Reports - Sep 2021
ROOTT M implants are a new generation of implants manufactured by TRATE (Switzerland). The Implants have been specifically developed for different locations in the jaw, they have also facilitated flapless and immediate loading.
The one-piece implants have no other components needed except a fixation screw for attachment to prosthesis. The special compressive thread produces compression when inserted into the cancellous bone, creating a layer of cortical bone around the implant which allows immediate loading with high primary stability. The absence of intrinsic micro gaps helps avoid peri-implantitis. READ MORE
Rehabilitation of Atrophic Maxilla using Pterygoid Implants
Case Reports - Jan 2018
Restoration of a severely atrophic jaw presents a challenge in dentistry. The poor bone quality of the posterior maxilla, coupled with limited vertical bone height due to sinus pneumatisation and chronic periodontitis often leaves insufficient bone for implant anchorage [1,2]. READ MORE
An alternative treatment option in the Atrophied Maxilla without Sinus Lift and Bone Graft
Case Reports - March 2020
Extremely resorbed alveolar bone with insufficient height (10mm) and width (6mm) for conventional implant placement, the insufficient space between adjacent edentulous teeth for the use of conventional implant, or the presence of neurovascular bundles that may make implant placement impossible are but to mentioned few of these reasons. READ MORE
Minimal treatment options with
One-Piece Implants
Case Reports - March 2020
One Piece implant is also called monobloc implant. A
monobloc implant is a set of dental implants comprising an
implant body and a part forming a post stem, the different
implants may have different angles between the implant body axis and the post stem axis, the implant bodies are designed to be ϐixed in the mandibular or maxillary bone. It may have a built-in abutment as seen in the Compressive Implant from ROOTT (TRATE) or the abutment may be screwed to the implant as seen in the compressive multi-unit from ROOTT (TRATE) or the tissue level implant from STRAUMANN.
One of the major changes seen in the one-piece implant by
ROOTT is the special neck design that allows the angulation of
the implant to correct the implant axis when it is needed. This
is considered as a major change because it corrects the major
disadvantage of the one-piece Implant. READ MORE
Implant Treatment Options in A Compromised Bone using Prosthesis Retained by Screws and Cement
Case Reports - Nov 2020
Cement retention is often considered to be the most successful method by reducing stress in the restoration and bone, excess cement application leading to bone loss and peri-implant disease are major issues. Patient dissatisfaction due to repeated loosening of the prosthesis cause by debonding is also a major issue in cement only retained restorations.
Screw-retained restorations allow for easier removal and access for maintenance, however, achieving a passive fit is significantly more difficult to attain with a screw-retained restoration due to stress introduced into the restoration through the tightening of screws.
The dual retained restorations ( i.e. screw and cement retained restoration) combine the advantage of both screw and cement retained restorations. A thin layer of the cement reduces stress in the restoration and also compensate for any minor discrepancies in the fit. Further Cement-retained restorations reduce stress and the likelihood of stress related implant failure or peri-implantitis. The use of temporary cement makes restoration removal easier.
Partial Rehabilitation of the Maxilla and the Mandible
63 year-old lady patient wanting replacing missing teeth in both the mandible and the maxilla.
1. In the maxilla: pterygoid implants, two hybrid plates and four compressive implants.
2. In the mandible: two hybrid plates, and four compressive implants.
3. Load maxilla and mandible with metal ceramic bridges after 10 days.
Total New Rehabilitation of Maxilla and Mandible
A 68 year-old male patient wearing old bridges with broken roots.
1. In the maxilla: extraction, and implantation of pterygoid implants, two hybrid plates, and five one-piece compressive implants
2. In the mandible: extraction and thirteen one-piece implants.
3. Load after 10 days in the maxilla and mandible with metal ceramic bridges.
Total Mouth Rehabilitation
54 year-old male patient.
1. In the maxilla: extraction, implantation, pterygoid implants, two hybrid plates and five compressive implants.
2. In the mandible: extraction, implantation of twelve one-piece compressive implants.
3. Load two metal ceramic bridges after 10 days.
